focus on cutting-edge research on biomedicine.
10 years of research and development born for precision cure for the disease.
adhere to the original intention remember the social responsibility and health mission.
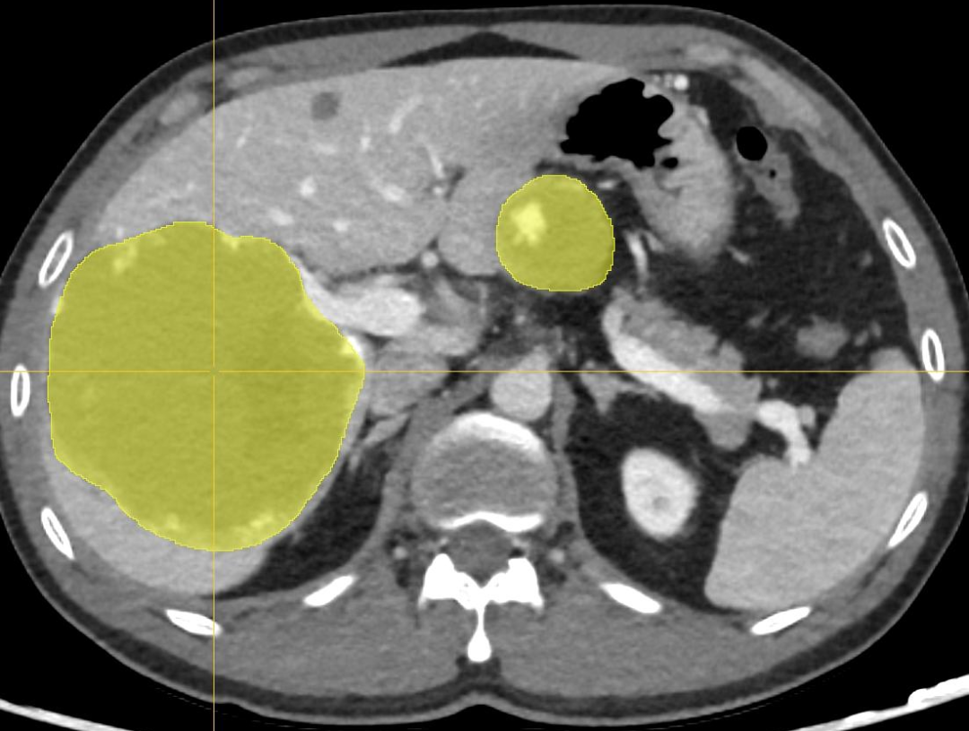
阿梵D——全息医疗影像 三维重建与分析处理系统
梵晨博生医药集团-旗下机立和传动MedAI精准医疗公司&中科院软件所联合出品
国家Ⅱ类医疗器械:
术前精准诊断:全面评估病灶影像学特征,,,直观展示解剖空间结构,,,帮助完善术前诊断与规划
术中精准定位:准确识别毗邻组织与病灶相对位置,,精确测量显示解剖边界,,,辅助勾画手术切缘
术后快速康复:缩短手术时间,,降低手术风险,,减轻手术创伤,,,,保留更多肺组织,,,提升术后生活质量
学术会议
全国级核心临床专家合作
全国经销商团队
临床追踪
基础生物医学研究
临床循证研究项目
实验测试
研发团队70%为博士,,具备计算机科学与临床医学交叉学科背景。。 团队成员在国际顶级期刊发表论文50余篇,,,科研实力雄厚。。。。
social responsibility
Career Development
广西机立和传动人工智能医疗科技有限公司,,,始终践行极致服务、、患者第一的价值观,,,,坚持研发创新、、、努力解决因威胁人类健康的病毒、、、、细菌引起的疾病问题,,不断提高生命质量。。
服务热线:0512-62863966
投诉邮箱:service@fanchensz.com
集团地址:江苏省苏州市苏州工业园区月亮湾路15号
Copyright © 2024 广西机立和传动人工智能医疗科技有限公司 All Rights Reserved.桂ICP备2024028491号-1